Náš web používá ke zlepšení použitelnosti a analýze návštěvnosti soubory cookies.
SouhlasímNesouhlasím

Implantologie

Cenová nedostupnost implantátů je už dávno pryč a díky našim zkušenostem je u nás úspěšnost implantace 98,5 %.
Proč u nás?Proč implantát?Stojíme si za svou pracíUkázky pracíNabídka implantátůCeník
MUDr. MDDr.
Jiří Blahák
Ph.D.
Specialista v orální a maxilofaciální chirurgii, Specialista ve stomatochirurgii, Implantolog, Direktor ITI SC Nové Město
MUDr. et MUDr.
Tomáš Křiva
Specialista v orální a maxilofaciální chirurgii, Implantolog
MUDr. MDDr.
Adam Šabacký
Stomatochirurg, Implantolog

Proč u nás?

Učí se od nás i odborníci
Náš vedoucí implantolog Jiří Blahák vede Studijní klub
Mezinárodní implantologické společnosti ITI, přednáší v zahraničí
a pořádá úspěšné kurzy zaměřené na implantologii.
Více o Jiřím
Věříme své práci a Vy můžete také
Doživotní záruka na implantát
a 5 let na protetickou část.
V případě neuchycení implantátu nové zavedení zdarma.
Komplexní péče
Díky multioborové spolupráci se postaráme o vše pod jednou střechou - od zavedení nitrokostního implantátu po korunku.
Díky našim zkušenostem vyřešíme i všechny případné komplikace.
Celé spektrum implantologie
Od jednoduchých až po ty nejtěžší případy.
Nedostatek kosti či měkkých tkání i celkově komplikované podmínky jsou pro nás denní rutinou.
Špičkové protetické výrobky
Korunky, můstky, náhrady zhotovujeme se špičkovou českou zubní laboratoří.
Více o Forejtek Dental Lab
Digitální implantologie
Pro Vás mnohem komfortnější, pro nás více přesné.
Protetiku zhotovujeme digitálně pomocí špičkových intraorálních skenerů.
Pracujeme v sobotu
Pokud nemáte čas přes týden.

Proč zvolit implantát?

  • Jedná se o moderní náhradu zubu, pokud došlo k nevratnému poškození zubního kořene a zub musel být extrahován.
  • Při ošetření ztraceného zubu nebo více zubů implantátem nedojde k poškození sousedních zdravých zubů, jako je tomu při preparaci na protetické ošetření „fixním můstkem“.
  • Zlomovým bodem pro některé pacienty při volbě ošetření zubním implantátem je ztráta většího počtu zubů.
  • Při této rozsáhlé ztrátě zubů se spousta pacientů může těšit z komfortu pevné zubní náhrady, funkčně odpovídající vlastnímu chrupu, jen díky zubním implantátům.
  • Při nezbytnosti snímatelné zubní náhrady dokáží implantáty zajistit stabilitu a lepší funkci především dolní náhrady. Odpadá tak jinak těžko řešitelný problém s volnou snímatelnou náhradou.

Stojíme za svou prací

Máte obavy z úspěšnosti vhojení a chirurgického výkonu?

Chirurgickou část provede chirurg s praxí v oboru ústní, čelistní a obličejové chirurgie a mnohaletými zkušenostmi v oboru implantologie. Úspěšnost vhojení implantátů v naší ordinaci je v současné době 98,5 %.

V rámci implantologie provádíme všechny osvědčené augmentační techniky

  • augmentace laterálním sinus-liftem s využitím Straumann® XenoGraft (nesintrovaný bovinní granulát)
  • augmentace vnitřním sinus-liftem technologií Versah / osteotomy
  • augmentace měkkých tkání vlastní tkání
  • augmentace kostních tkání kostním štěpem z tuber maxillae
  • augmentace kostních tkání válcovým kostním štěpem z dolní čelisti
  • 3D augmentace vlastní kostní tkání při rozsáhlých defektech

V případě augmentace, kdy je nezbytný cizorodý materiál preferujeme renomovaný materiál značky Straumann® XenoGraft (nesintrovaný bovinní granulát) – Přírodní kravský materiál pro regeneraci kosti.

Pokud je to možné, dáváme přednost přenosu vlastní tkáně pacienta. Jedná se o techniku náročnější, dlouhodobě ale o techniku stabilnější a nejvíce prediktabilní

Pouze renomovaná pracoviště jsou schopna obsáhnout celou škálu implantologie od jednoduché implantace po komplexní ošetření obou čelistí a esteticky exponovaných úseků. Mezi taková pracoviště se řadí i naše pracoviště

Ukázky prací

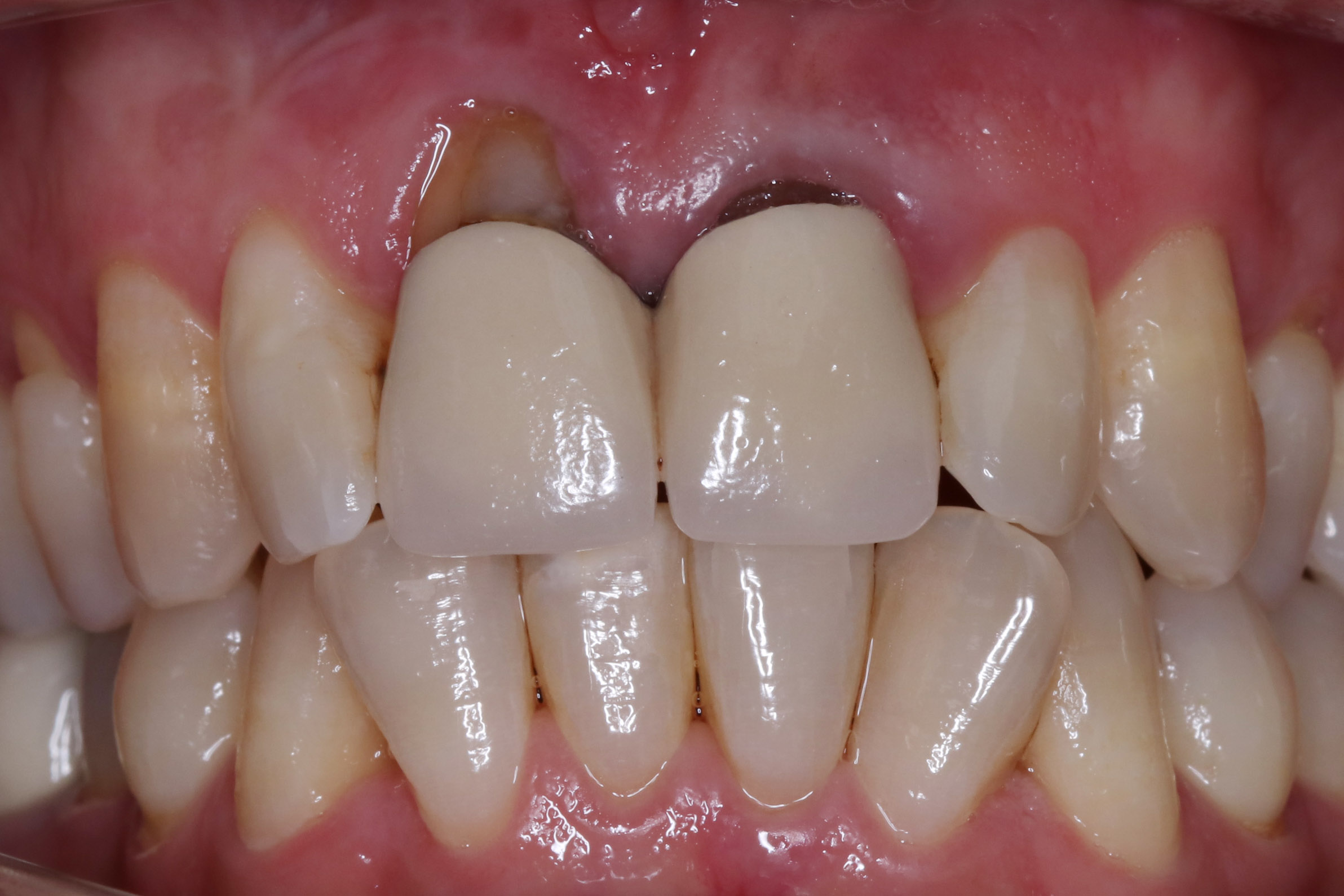
Ošetření horního řezáku s výrazným defektem kostní tkáně a dásně korunkou na zubním implantátu

Ošetření dvou středních řezáků korunkou na implantátu a zubu

Ošetření horního řezáku s výrazným defektem kostní tkáně a dásně

Implantace a korunka na místě horního třenového zubu

Ošetření dolní čelisti čtyřmi implantáty nesoucí Branemarkův můstek

Ošetření horní čelisti šesti implantáty nesoucími frézovaný metalokeramický můstek

Ošetření horní a dolní čelisti hybridními náhradami nesené implantáty

Dolní hybridní náhrada nesená čtyřmi implantáty Straumann systémem Novaloc.

Horní hybridní náhrada nesená čtyřmi implantáty Straumann systémem Novaloc.

Ošetření horní čelisti čtyřmi implantáty nesoucí Branemarkův můstek.

Horní hybridní náhrada nesená čtyřmi implantáty Straumann systému Novaloc.

Nabídka implantátů

Implantáty Straumann iEXCEL™ system

Straumann je synonymem pro prémiovou švýcarskou kvalitu, přesnost a inovaci, které jsou základem pro důvěru ve stomatologii.
Společnost spolupracuje s nejrozsáhlejší globální sítí vědeckých pracovníků. Jako přední globální specialista na implantologii poskytuje nejmodernější inovace, které jsou považované za špičku v této oblasti, a průlomové technologie doložené dlouhodobými vědeckými důkazy.

Straumann® TLC - legenda implantologie v moderním designu

Implantátový systém Straumann® TLC představuje novou generaci implantátů na úrovni tkáně. Implantát TLC, navržený s úzkým apexem a zaměřením na biologické principy, snižuje riziko zánětu a resorpce kosti. Bezkonkurenční primární a sekundární stabilita, a to i v situacích s narušenou kostí.

Straumann® BLC - implantáty pro vysokou estetiku a okamžitou implantaci

Straumann® BLC je kónický implantát nové generace s úzkým apexem pro indikace na úrovni kosti. Vítězná kombinace inovativního designu, povrchové technologie SLActive® a vysoce výkonného materiálu Roxolid® umožňuje méně invazivní ošetření a vysokou primární a sekundární stabilitu i v situacích s narušenou kostí.

Straumann® Roxolid® – Více než pevný – Snížení invazivity.

Roxolid® je vysoce funkční slitina z 15 % zirkonia a 85 % titanu, specificky navržená společností Straumann k použití v dentální implantologii. Disponuje vysokou silou v tahu a excelentními osteointegračními vlastnostmi, díky kterým je to materiál volby pro sníženou invazivitu. Její vlastnosti jsou základem pro vyšší sebedůvěru a nabízí další možnosti ošetření jako jsou: zavedení implantátů menšího průměru a kratších implantátů, hlavně v případech, kdy se lze vyhnout augmentaci.

Straumann® SLA® Dlouhodobá funkčnost a efektivita v každodenní praxi.

Klasický povrch SLA® představený v roce 1998 je založen na technice hrubého pískování, která poskytuje makro-drsný vzorec na titanovém povrchu. Následuje leptání kyselinou se superpozicí mikro-zdrsnění. Výsledná topografie nabízí ideální strukturu pro buněčnou adhezi. Mnoho recenzovaných klinických a preklinických studií potvrdilo vysokou dlouhodobou funkčnost a spolehlivost. Představuje tak jeden z nejlépe zdokumentovaných povrchů v zubní implantologii. Dle nezávislé studie byl poměr rizik rozvoje periimplantitidy u pacientů léčených konkurenčními implantačními systémy více než třikrát vyšší než u implantátů Straumann® s povrchy SLA®.

BLX implantační systém - Implantát pro eXtrémní situace.

Jedná se o vítěznou kombinaci inovativního designu a povrchové technologie s vysoce výkonným materiálem navrženým pro prediktabilní výsledky, kterým můžete věřit. Nejen pro okamžité protokoly. Předností implantačního systému BLX jsou i redukované implantáty délky pouze 6 mm od ∅3,75 mm.

Straumann® TLX Implantační systém - Ikonický implantát v novém designu

Novinky podzimu 2021. Tvar implantátu Straumann® TLX je navržen tak, aby respektoval biologické principy a podporoval měkké i tvrdé tkáně. Švýcarská přesnost a kvalita podpořena skvělým materiálem Roxolid® a jedinečným povrchem SLActive®.

SLActive® povrch u implantátů BLX, BLC a TLX, TLC

Jedná se o špičkový povrch vyvinutý společností Straumann s vysokým hojivým potenciálem. Vykazuje vysokou predikovatelnost a zajišťuje urychlenou osteointegraci. Poslední studie dokládají výjimečnou klinickou funkčnost implantátů SLActive® i ve velice náročných léčebných protokolech a u pacientů s chatrným zdravím.

Ceník

Implantologická konzultace, sestavení léčebného plánu

náhrada jednotlivých zubů (sestavení léčebného plánu)
1 000 Kč
celková rekonstrukce (sestavení léčebného plánu)
2 000 Kč
intraorální digitální SKEN
1 000 Kč

Implantát Straumann iEXCELL BLC/TLC - nejnovější generace

základní cena včetně implantace, otisku, všech návštěv a šroubované základní korunky
36 000 Kč - 38 000 Kč
zavedení kostní části implantátu SLA BLC/TLC
19 500 Kč
zavedení kostní části implantátu SLActive BLC/TLC
21 500 Kč
metalokeramická / monolitická zirkonová korunka v distálním úseku chrupu
16 000 Kč
celokeramická zirkonová fasetovaná korunka v distálním úseku chrupu
17 000 Kč
celokeramická zirkonová fasetovaná korunka v estetickém úseku chrupu
18 000 Kč
celokeramická vysoce estetická fasetovaná korunka zhotovená protokolem eLAB
24 000 Kč
hybridní snímatelná náhrada na 2 implantátech
43 000 Kč
hybridní snímatelná náhrada na 4 implantátech
64 000 Kč
Branemarkův můstek
od 125 000 Kč

Doplňkové výkony

Doplnění kostní hmoty (augmentace) malého rozsahu
8 000 Kč
Přenos měkkotkáňového štěpu
7 000 Kč
Sinus lift vnitřní vč. použití PRF
5 000 Kč - 7 000 Kč
Sinus lift laterální vč. použití PRF a materiálu Straumann Xenograft
od 15 000 Kč
Přenos kostního štěpu / 3D augmentace velkého rozsahu
15 000 - 20 000 Kč
Řízená okamžitá implantace včetně tisku chirurgické šablony v estetické zóně
5 000 Kč
Řízená okamžitá implantace včetně tisku chirurgické šablony, prototypu, IDR technika v estetické zóně
12 000 Kč